Hoy vamos a contarte que es la fenestración de dientes incluidos, en condiciones normales, cada diente tiene su momento de erupción, es decir, de emerger de la encía por primera vez. Hay una edad media aproximada de erupción de cada uno de los dientes definitivos, aunque pueden adelantarse o retrasarse.
¿Qué es y como se trata la fenestración de dientes?
Cuando el retraso es significativo, el odontólogo puede sospechar que exista agenesia, es decir, ausencia del diente, o que la posición de la pieza dificulte la erupción con normalidad.
Los dientes que se quedan incluidos en el hueso y la encía con más frecuencia son las muelas del juicio y los caninos (colmillos).
En el caso de las muelas del juicio, suele darse porque se encuentran en posición inclinada u horizontal y no pueden llegar a salir en esas circunstancias, o porque no poseen espacio suficiciente en la arcada para posicionarse. En este caso la mayoría de las veces se recomienda la extracción de estas piezas.
Sin embargo, los caninos son de las piezas dentarias más importantes de la boca, ya que son la guía de la movilidad y oclusión.
Es también muy frecuente encontrarse con caninos incluidos en el hueso y la encía que por su posición, necesitan de una ayuda para salir y ponerse entre el premolar y el incisivo lateral.
Los caninos erupcionan en torno a los 13 años de edad. En caso de retrasarse, es recomendable ir realizando un seguimiento radiográfico periódico para comprobar si con el tiempo el diente va acercándose a la encía. Si por lo contrario no cambia su posición y además, la pieza está orientada hacia otra posición, el profesional considerará la opción de una fenestración de dientes.
¿Cómo se lleva un diente incluido a su posición correcta?
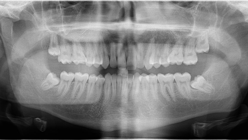
Para conocer hacia donde está orientado el diente, es necesaria la realización de radiografías intraorales y/o extraorales (ortopantomografía, TAC, CBCT).
Cuando se conoce la posición exacta de la pieza, se valora la posibilidad de una cirugía de fenestración y ortodoncia.
Una fenestración de dientes incluido consiste en realizar una “ventana” en la encía o en el paladar donde se encuentre la superficie de la corona del diente. Se destapa la encía y se deja visible parte del diente.
Esta ventana tendrá el tamaño suficiente para que se permita la adhesión de un bracket, botón u ojal de ortodoncia.
Para este tratamiento es necesaria la presencia del especialista en cirugía y el ortodoncista.
En la misma visita de cirugía de fenestración, para evitar que se cierre la mucosa, se realiza el cementado del bracket de ortodoncia en el diente incluido. A este bracket, ojal o botón se añadirá una cadeneta o hilo elástico que estire de él poco a poco hacia la arcada donde se encuentran el resto de dientes.
Este tratamiento suele ir acompañado de un tratamiento de ortodoncia que haga los movimientos necesarios entre los dientes para que la pieza incluida pueda tener espacio.
Este proceso se realiza poco a poco y suele durar unos meses hasta que la pieza se coloca en su lugar adecuado.
Este tratamiento quirúrgico es un procedimiento sencillo con una duración de media hora aproximadamente. Es necesaria la aplicación de anestesia local para evitar dolor y molestias.
Es recomendable hacer dieta blanda durante las 48-72 horas posteriores, hasta que la mucosa quede perfectamente cicatrizada.
Cuanto más tiempo lleve esa pieza incluida en el hueso y más se retrase su salida, puede correrse el riesgo de que el diente quede anquilosado, es decir, que quede “fusionado” al hueso y aunque se tire de él no consiga moverse o tarde más tiempo.
El factor de la edad es muy importante para realizar este tipo de intervenciones porque cuanto más tiempo, más riesgo a que el diente no responda como se requiere.
Si se tiene un canino incluido y se decide no realizar tratamiento alguno, con el tiempo puede llegar a dar problemas de infecciones, oclusión…
Puede darse el caso que tras muchos años incluido en el hueso, comience a erupcionar por sí solo, aunque lo más probable es que no lo haga por el lugar adecuado, sino por el paladar o por la encía por delante de otros dientes.
Si te encuentras en esta situación, lo más recomendable es la valoración por parte de un odontólogo y considerar las distintas opciones de tratamiento que se proponen.
En la Clínica dental Miguel Gilabert respondemos todas tus dudas, valoramos tu caso y te ofrecemos las mejores opciones de tratamiento para tu situación.

Deja una respuesta